Pay Online

Opalescence™ Boost™ Professional Teeth Whitening
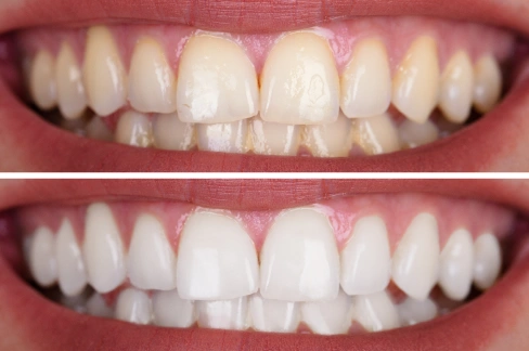
Stained or discolored teeth can make your smile look dull over time. Opalescence™ Boost™ teeth whitening in Aurora offers a fast, professional solution to brighten your smile safely and effectively without the need for lights or lasers.
This in-office whitening treatment at Young Dental Care is designed to deliver noticeable results in a single visit, helping lift deep stains while protecting your enamel. With its powerful yet gentle formula, you can enjoy a noticeably whiter, more radiant smile with minimal sensitivity.

Why Choose Opalescence™ Boost™ at Young Dental Care
- Fast, In‑Office Whitening: Get noticeably whiter teeth in about 60 minutes, perfect for busy lifestyles or special events.
- No Uncomfortable Lights Needed: Opalescence Boost uses a chemically activated whitening gel, so there’s no hot LED light or laser required during treatment.
- Comfort‑Focused Formula: The gel contains potassium nitrate and fluoride to help reduce sensitivity and support enamel health.
- Safe and Effective: Performed by our experienced dental professionals for precise application and optimal safety.
- Instant Confidence Boost: Walk out with a brighter smile you’ll love — just in time for photos, celebrations, or everyday confidence.
Am I a Good Candidate?
Opalescence Boost is ideal for adults in and around Aurora, IL, who want a brighter smile quickly and safely. It’s especially suitable if you have:
- Discoloration from food, drinks, tobacco or aging enamel.
- Healthy gums and teeth (we’ll assess this first).
- No severe tooth decay or active gum disease (which must be treated first).


What to Expect During Your Whitening Appointment
Here’s how your Opalescence Boost treatment typically unfolds:
Consult & Shade Check
We record your current tooth color and discuss your goals.
Protective Barrier Applied
A barrier shields your gums from the whitening gel.
Professional Gel Application
Our dentist applies the chemically activated whitening gel precisely.
Quick, Visible Results
After multiple 20‑minute sessions (usually 2–3), you’ll see a perceptible difference — often in the same visit!
